Cabinet dentaire du Dr RAMIN
Chirurgien-Dentiste à Saint Joseph / La REUNION
Cabinet dentaire du Dr RAMIN
Chirurgien-Dentiste à Saint Joseph / La REUNION

15 rue du Général Lambert
97480 Saint Joseph réunion

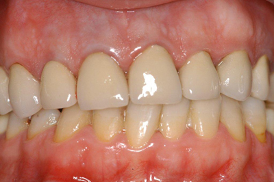
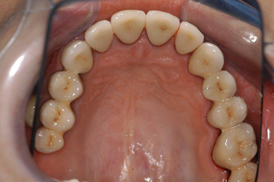
Réabilitation globale 2

Patiente 35 ans
Sans profession.

Sa demande :  elle à honte de ses dents de devant et sous la pression de son mari elle veut faire quelque chose pour sauver son couple. Et une phobie du dentiste.

En bouche :  soins divers dégradés, dents cassées, des abcès , du tartre etc…

Le traitement : réhabilitation de toute les dents maxillaires, et reconstitution de l’anatomie dentaire par des couronnes céramo métalliques.

A la mandibule : deux extractions et remplacement des dents perdues par des implants. Quelques composites pour réparer “les petits bobos” de quelques dents légèrement cariées.

Avant

avant les divers traitements dentaires

Après

Avant
Après
Les dents après les traitements Les dents après les traitements dentaires