Cabinet dentaire du Dr RAMIN
Chirurgien-Dentiste à Saint Joseph / La REUNION
Cabinet dentaire du Dr RAMIN
Chirurgien-Dentiste à Saint Joseph / La REUNION

15 rue du Général Lambert
97480 Saint Joseph réunion

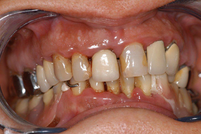
Réabilitation globale 1

Des problèmes de gencives, saignements etc.
Un appareil remplace des dents du bas, et n’est plus ajusté. Il bouge beaucoup, lui fait mal et elle ne le supporte plus.

Le traitement : remise en état des tissus gingivaux, élimination des dents “fichues”, réalisation de couronnes et bridges céramo-métalliques au maxillaire.

A la mandibule : extraction des dents restantes et pose immédiate de 6 implants en même temps que la pose d’un bridge provisoire.

Durée du traitement : huit mois

Avant

Avant
Après
Traitement gingival avant Traitement gingival après

Après

Avant
Après
Pose d'implants avant Pose d'implants après